Welcome to Al Safwa Medical Center
Your Trusted Dental Clinic in Bani Yas
At Al Safwa Dental Clinic in Abu Dhabi, we provide expert dental services, including cosmetic dentistry, orthodontics, and general dental care, tailored to meet every patient’s needs.
+10
Experts In Various dental Specialties
+30
Professional dental services available
+100k
Patients received exceptional care
Accepted
Our Partners in
Health
Insurance
Quality Dental Care Services in Abu Dhabi
At Al Safwa Medical Center, we pride ourselves on offering a wide spectrum of dental services under one roof. Our treatments include cosmetic dentistry, orthodontics, dental implants, and more, tailored to meet the unique needs of each patient.
Whether you’re looking for a routine cleaning or a complete smile makeover, our experienced dentists provide care with precision and compassion. With over 100,000 satisfied patients, we continue to be a trusted name in dental care in Abu Dhabi.
All Your Dental Needs in One Place!
Our clinic provides a full range of dental services, including dental checkups, teeth cleaning, cosmetic dentistry, and advanced dental treatments.
Whether you need preventive care or want a bright, healthy smile, we’ve got you covered.
Periodontics
Welcome to Al Safwa Medical Center, where expert periodontic care combines advanced technology and a patient-centered approach..
General Dentistry
At Al Safwa Medical Center in Abu Dhabi, we provide comprehensive general dentistry services designed to maintain and improve...
Cosmetic Dentistry
At Al Safwa Medical Center in Abu Dhabi, we specialize in delivering personalized cosmetic dentistry solutions, including whiter teeth...
Dental Implants
Restore your smile with dental implants at Al Safwa Medical Center in Abu Dhabi, providing durable, natural-looking solutions for missing teeth and...
Orthodontics
At Al Safwa Medical Center in Abu Dhabi, we specialize in orthodontics, offering advanced solutions to correct dental misalignments and create...
Pediatric Dentistry
Give your child the gift of a healthy smile with specialized pediatric dentistry at Al Safwa Medical Center, where expert care meets a fun and...
Maxillofacial
Transform your appearance and oral health with advanced maxillofacial treatments at Al Safwa Medical Center, where expert care meets...
Endodontics
Welcome to Al Safwa Medical Center, where we specialize in preserving your natural teeth and alleviating dental pain through advanced endodontic...
Meet Our Expert Dentists
Our team of skilled dentists is committed to delivering top-quality dental care using the latest techniques and technology. We prioritize your comfort and work to achieve excellent results for a healthier, brighter smile.
Consultant Oral Surgery and Implantologist
Medical Director | 25+ Years Experience
Periodontist & Implantologist
Orthodontist | 25+ Years of Experience
Prosthodontist
General Dentist
Dentist and Cosmetic Dentistry
Why Choose Al Safwa Medical Center in Abu Dhabi?
01 Expert Dentists in Abu Dhabi:
Specialized care in cosmetic dentistry, dental implants, and more.
02 Advanced Dental Technology:
We use advanced tools like digital X-rays and pain-free procedures.
03 Comprehensive Services:
From routine check-ups to smile makeovers and orthodontics, we provide all your dental needs.
04 Insurance-Friendly Care:
05 Safe & Comfortable:
A welcoming environment with strict hygiene protocols.
Start Your Journey To a Perfect Smile
Reach out to us today and take the first step toward achieving the beautiful, healthy smile you deserve.
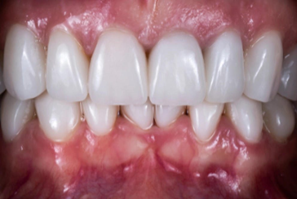
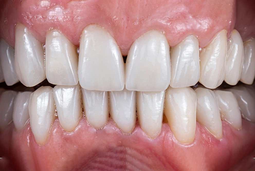
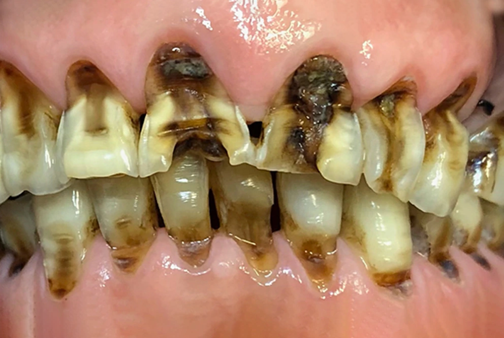
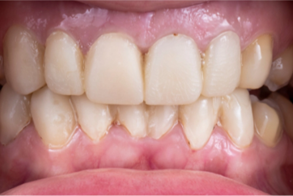
Before Al Safwa is Never Like After
We’ve helped countless patients smile confidently with our expert dental care.
FAQs
Here are answers to the most frequently asked questions about our dental treatments and services in Abu Dhabi.
What dental services does Al Safwa Medical Center offer in Abu Dhabi?
At Al Safwa Medical Center, we provide a wide range of dental services, including cosmetic dentistry, general dentistry, orthodontics, teeth restoration, periodontics, endodontics, maxillofacial surgery, and pediatric dentistry, all tailored to meet diverse patient needs
How does Al Safwa Medical Center ensure quality care during treatments?
Our clinic combines the expertise of highly trained dentists, advanced dental technologies, and strict hygiene protocols to deliver exceptional dental care in Bani Yas, Abu Dhabi.
Are the dental services at Al Safwa covered by insurance?
Yes, Al Safwa Medical Center partners with most major health insurance providers in Abu Dhabi, including ADNIC and Thiqa, to make dental care accessible and affordable.
What sets Al Safwa Medical Center apart from other dental clinics in Abu Dhabi?
At Al Safwa Medical Center, we stand out for our expert team of dentists, comprehensive range of services, and commitment to patient comfort. Located in Bani Yas, Abu Dhabi, we provide a luxurious and welcoming environment, partner with major insurance providers, and utilize advanced techniques to ensure high-quality, tailored dental care for every patient.
How do I book an appointment at Al Safwa Medical Center?
You can schedule your visit by calling us at +971-24448877 or visiting our clinic in Bani Yas, Abu Dhabi, for all your dental needs.
Always Happy to Help!
Wish to get a free consultation or a quick checkup to identify the kind of treatment you need? Just give us a call or submit the form here.
Book Appointment
Insights & Updates
Stay informed with the latest updates, dental care tips, and expert insights from Al Safwa Medical Center.
Causes of gum bleeding and treatment options
Learn about gum bleeding causes, diagnosis, and effective treatments at Al Safwa Medical Center in Abu Dhabi.
Root Canal Treatment in Abu Dhabi | Causes, Steps
Need a root canal in Abu Dhabi? Learn about the causes, steps, and benefits of the procedure.
Fixed vs. Removable Dental Prostheses: Which One is Right?
Explore fixed and removable dental prostheses in Abu Dhabi. Discover options, benefits, and costs at Al Safwa ...
How to Choose the Best Dental Clinic in Abu Dhabi?
Everything you need to know about laser teeth whitening: its differences, and top aftercare tips. All answers here.
Orthodontics in Abu Dhabi: Which One is Your Go-To Type?
Discover the best orthodontic option for your smile in Abu Dhabi. From metal braces to Invisalign and lingual braces.
Laser Teeth Whitening: Everything You Need to Know
Everything you need to know about laser teeth whitening: its differences, and top aftercare tips. All answers here.
The best ways to get rid of bad breath
Learn about the causes of bad breath and how to get rid of it with home remedies and specialized medical treatments.
What to Do After Teeth Whitening?
Teeth whitening gives an instant bright smile, but maintaining results needs proper care.